در یک قطره چای بوکاشی چه می بینید؟
قسمت اول
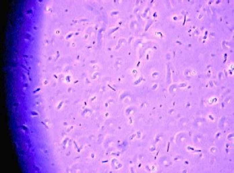
اینجا یک تصویر بسیار بزرگ شده از چای بوکاشی عمومی شما در زیر میکروسکپ دیده می شود. همه نقطه ها و خط تیره های خمیده.... میکروب های فعال و سالم هستند.

یک قطره چای بوکاشی.... با بزرگنمایی 1000 برابر
شیمیدان ها دوست دارند ملکول هایی که در طی تجزیه چیزها تولید شده اند را نظاره کرده و شناسایی نمایند. راههای زیادی برای انجام این کار وجود دارد، اما یکی از چیزهای خیلی ساده برای انجام دادن این است که یک نمونه رقیق شده بگیریم و آن را از طریق یک ابزار تخصصی که نوعی آنالیز CSI( اثر انگشت) انجام می دهد، مورد تست قرار دهیم. وقتی شما به رد این دستگاه نگاه می کنید، فهرستی از مواد تشکیل شده را می بینید. هنگامی که از یک آشکارساز عبور می کنند که تک تک مواد موجود در نمونه را ثبت می کند، آنها به صورت سنبله ظاهر می شوند.
در تصویر زیر، شما می توانید رد حاصل از مدفوع سگ و رد حاصل از زائدات غذایی را ببینید که از نمونه هایی حاصل آمده اند که اجازه تخمیر به آن ها داده شده است. ( تجزیه با میکروب ها)

ردیابی های HPLC و آنالیزهای دکتر تری گرین با حسن نیت دکتر رادو پوپا PSU پورتلند، یا آوریل 2010
جالب است که ردها چقدر شبیه یکدیگر هستند. رد مدفوع سگ بطور قابل ملاحظه ای شبیه الگوی زائدات غذایی است. در واقع هر دو نوع تقریبا همان مواد شیمیایی را تولید می کنند. ما چندین تا را شناسایی کرده ایم.....اسید استیک، اسید پروپیونیک، اسید بوتیریک و اسید کاپروئیک.
توجه کنید که رد فضله سگ پیچیدگی کمتری نسبت به رد زائدات غذایی دارد. ( محصولات نهایی کمتری در رد ظاهر می شوند) این منطقی است زیرا سگ شما قبلاً هضم کرده و در روده بسیاری از مواد مغذی و محصولاتی را که در هنگام تجزیه غذا تشکیل شده اند جذب کرده است. آنچه باقی مانده (در مدفوع) مواد غیرجذب شده کمتر پیچیده ای است که در تخمیر بیشتر تجزیه می شود. متأسفانه انگلها و پاتوژنهای بالقوه مضری در روده وجود دارند که به مدفوع ختم میشوند، به همین دلیل است که ما همیشه با تهدید واقعی برای آلوده کردن آبهای زیرزمینی و مکانهای دفن زباله مواجه هستیم.
اسیدهای تولید شده در تخمیر بسیار جالب می باشند. همانطور که خیلی از شما می دانید، سرکه، اسید استیک رقیق شده در آب است. دیگر اسیدهای چرب فرار همانند اسید استیک در محصول نهایی دیده می شوند، زیرا میکروب ها نمی توانند به راحتی از شر آن ها خلاص شوند. می توانید آنها را به عنوان باقی مانده های آزاردهنده در پایان جشن تصور کنید. میکروبهای موجود در یک سیستم تخمیر بیهوازی مسدود شده، این اسیدها را تولید میکنند که نشانهای از پایان مهمانی هستند... دیگر چیز خوبی برای خوردن وجود ندارد.
با این حال، این اسیدها کارهای جالبی انجام می دهند که بسیار سودمند هستند. وقتی مواد زائد تخمیر شده (از زباله های مواد غذایی یا ضایعات حیوانات خانگی) را در خاک می ریزید و اجازه می دهید میکروب های خاک از محصول باقی مانده عبور کنند، اتفاقات زیادی رخ می دهد.
هوا اکنون معرفی شده است و مجموعه کاملاً جدیدی از میکروب ها فرصتی برای کار بر روی مواد باقی مانده دارند. این اسیدهای چرب همانند آب نبات ناپدید می شوند، زیرا میکروب های هوازی غنی از سوخت می توانند بخوبی آن ها را متابولیزه نمایند.
در باره ارگانیزم های پاتوژن چه باید گفت؟
بعضی از شما ممکن است نگران ارگانیزم های پاتوژن باشید؛ به ویژه وقتی از تخمیر مدفوع سگ و گربه حرف زده می شود. همچنانکه ما در بالا و در مبحث آنالیزهای شیمیایی توضیح دادیم، تعدادی اسید از جمله اسید بوتیریک تشکیل می شوند. این اسیدهای چرب مهارکننده های قدرتمندی هستند که به کشتن آن میکروب های بیماری زا کمک می کنند.
مشخص شده است که اسید بوتیریک، اسید پروپیونیک و سایر اسیدهای چرب برای زنجیره کوچک کلیفرم ها از جمله اشرشیا کلی و سالمونلا (پاتوژن های شناخته شده ای که آب های زیرزمینی را آلوده می کنند) سمی هستند. پاتوژن ها در سیستم تخمیر می میرند، در حالی که میکروب های دیگر مدفوع را تجزیه می کنند. اگر سیستم بسته باشد و زمان کافی، که 7 روز است، برای تکمیل هضم فراهم شود؛ احتمال آلودگی آب زیر زمینی به مقدار زیادی کاهش خواهد یافت.





